Limfangiectàsia renal, una complicació rara després del trasplantament de ronyó
Mar 10, 2022
Contacte: ali.ma@wecistanche.com
Aghilès Hamroun et al

Feu clic per als efectes secundaris de cistanche i Cistanche per a la malaltia renal
INTRODUCCIÓ
Les complicacions quirúrgiques són un problema important desprésronyótrasplantament.LimfàticSón freqüents els trastorns, especialment el limfocele, la limforrea o la limforràgia que es produeixen amb més freqüència en els primers mesos després del trasplantament i afecten fins al 40% dels pacients.ronyóreceptors de trasplantament.1A més dels factors de risc quirúrgic, s'han reconegut cada cop més altres contribuents com l'obesitat, determinats fàrmacs immunosupressors i episodis de rebuig agut.2El diagnòstic s'ha millorat juntament amb el desenvolupament d'exàmens d'imatge d'avantguarda i l'ampli ús de la ressonància magnètica (MRI).3Fins a un 15 per cent dels limfoceles requereixen un tractament específic, l'opció més eficient dels quals és la fenestració laparoscòpica, donat l'alt risc de recurrència després d'un simple drenatge percutani.4
Limfangiectàsia renal, també coneguda com a renallimfàgiomatosi,5–7és una complicació poc freqüent desprésronyótrasplantament. Aquesta malaltia rara, sovint benigna, es caracteritza per una èctàsia per pèlvica, perirrenal i/o intrarenal.limfàticvaixells. S'han informat poques descripcions a la literatura, excepcionalment desprésronyótrasplantament,7 i actualment només hi ha dades escasses sobre la presentació clínica,fisiopatologia, i opcions terapèutiques en receptors de trasplantament renal.
Presentem aquí dos casos deronyótrasplantamentlimfangiectàsia revelada per ascites persistents i dolor abdominal atípic, senseronyódisfunció de l'empelt.
CAS 1
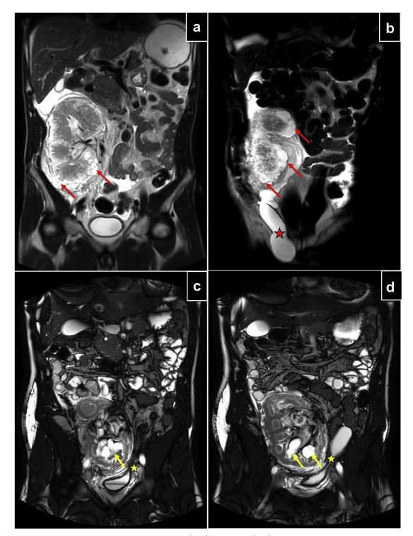
Un home de 34-anys va ser derivat al nostre departament per ascites refractària 10 anys després de la primeraronyótrasplantament per a malaltia renal terminal secundària a glomeruloesclerosi focal i segmentària idiopàtica. Havia experimentat un rebuig humoral subclínic agut demostrat per biòpsia revelat per l'aparició d'antígens específics del donant de nou 4 anys després del trasplantament. El rebuig es va tractar amb corticoides, immunoglobulines intravenoses i immunoadsorció (10 sessions). El nivell de creatinina sèrica es va mantenir estable a 0, 9 mg/dl, així com la relació albúmina-creatinina urinària a 50 mg/g. Després es va mantenir amb una combinació de tacrolimus, micofenolat de mofetil i esteroides. L'ascite va aparèixer gradualment 8 anys després del trasplantament, donant lloc a un malestar creixent. No hi va haver cap signe associat d'edema perifèric. La funció cardíaca era normal i no hi havia síndrome nefròtica. Les ascites eren transsudatives, no quiloses i sense evidència de malaltia infecciosa o maligna. La ressonància magnètica abdominal no va mostrar anomalies estructurals del fetge i la tomografia per emissió de positrons no va trobar cap evidència de càncer o malaltia limfomatosa. Tampoc hi havia signes de ganglis limfàtics retroperitoneals o fibrosi. També es va realitzar una biòpsia hepàtica i no va revelar cap anormalitat significativa. Tenint en compte la hipòtesi de la hiperplàsia nodular regenerativa induïda per micofenolats, que és possible que no es detecti en els resultats de la biòpsia, es va realitzar una conversió a l'objectiu de mamífers de l'inhibidor de la rapamicina (mTOR) (mTOR). La urografia per ressonància magnètica (urografia RM) va mostrar una nefromegàlia significativa (13, 7 cm, 603 ccs) amb múltiples col·leccions de líquid plurilocular perifèric als pols superior i inferior de l'empelt de ronyó, així com una àmplia ascites responsable de l'hidrocele inguinoscrotal (figures 1a i 1b). Es va realitzar una biòpsia d'empelt de ronyó i va revelar un rebuig humoral actiu crònic i un edema intersticial significatiu, però cap argument per al trastorn limfoproliferatiu posterior al trasplantament. Retrospectivament, el ronyó trasplantat tenia un aspecte normal en el moment de la obtenció sense detectar cap quist. No obstant això, 4 anys abans del recent episodi d'ascite (6 anys després del trasplantament), es va fer una ecografia per dolor intermitent a la zona de l'empelt: la seva mida ja havia augmentat (13 cm) i una quantitat important de líquid ({{23}). }} mm de gruix) va descriure l'empelt, que defensava la limfangiectàsia perirrenal (figura 2). Això ens va portar a concloure limfangiomatosi cortical i perirrenal. Un any després de la conversió de mTOR, el pacient va experimentar un millor control de l'ascite i l'alleujament del dolor, però el volum de l'empelt renal encara augmentava moderadament (14,3 cm, 654 cc). Pel que fa a la funció de l'empelt, el nivell de creatinina sèrica es va mantenir estable a 1,1 mg/dl. També es va proposar una cirurgia parietal protèsica sota el procediment de Lichtenstein per al tractament de l'hidrocele inguinoscrotal, però el pacient va preferir rebutjar la proposta.

CAS 2
Un home de 35-anys va ser derivat al nostre departament per dolor pèlvic crònic associat a símptomes urinaris 8 anys després del primer trasplantament de ronyó per malaltia renal terminal secundària a la síndrome hemolítica i urèmica infantil típica. Cinc anys després del trasplantament, va experimentar un rebuig humoral agut subclínic provat per biòpsia (biòpsia d'empelt realitzada a causa de l'antigen específic del donant de nou). Per tant, es va sotmetre a un tractament que combinava corticoides, immunoglobulines intravenoses i sis sessions d'intercanvi de plasma. El nivell de creatinina sèrica renal es va mantenir estable a 1,1 mg/dl, així com la relació albúmina-creatinina urinària a 32 mg/g. La teràpia immunosupressora de manteniment es basava en una combinació de tacrolimus, micofenolat de mofetil i esteroides. Davant la simptomatologia recent, es va realitzar una ecografia abdominal i es va trobar una nefromegàlia important (16 cm), associada a cavitats pielocaliceals normals, múltiples quists perifèrics, ascites perihepàtiques i perisplèniques. A l'exploració física, no hi havia signes d'edema perifèric. El company de la vena de l'empelt també es considerava turbulent. Es va realitzar una ressonància magnètica abdominal i no va trobar cap evidència de malaltia limfomatosa peritoneal, ganglis limfàtics retroperitoneals patològics o fibrosi. La venografia ilio-vena cava va descartar qualsevol estenosi venosa de l'empelt. Finalment, la RM-urografia i la RM-angiografia de l'empelt de ronyó van confirmar nefromegàlia important (8,5 - 12.{5 - 17 cm, 729 cc), múltiples quists parafilètics, limfangiectàsies pericapsulars i infiltració edematosa de greix perirrenal, tot el responsable de la compressió de la bufeta. Retrospectivament, en el moment del trasplantament, l'empelt renal mesurava 11,3 cm, sense cap quist. No s'havia descrit cap quist perifèric en el moment del trasplantament, ni en una altra ecografia realitzada 2 anys després. Quan es va realitzar una biòpsia d'empelt renal per diagnosticar el rebuig humoral agut subclínic 3 anys després del trasplantament, la mida del ronyó era de 13,5 cm. A partir del resultat d'imatge (especialment RM-urografia), es va fer el diagnòstic de limfangiomatosi d'empelt renal amb un desenvolupament perihilar específic (figures 1c i 1d) i es va canviar el micofenolat de mofetil a mTOR. Tot i que l'ascite es va controlar millor, la mida de l'empelt va augmentar significativament 6 mesos després (8,5 - 13.5 - 18 cm, 910 cc). Aleshores es va retirar mTOR i es va reiniciar el micofenolat de mofetil. Tres mesos després, el volum de l'empelt renal va disminuir parcialment (17 cm, 770 cc) però l'ascite va tornar a aparèixer.

DISCUSSIÓ
Descrivim dos casos de limfangiectàsia d'empelt renal responsable d'ascites persistents i nefromegàlia simptomàtica revelada per dolor pèlvic crònic atípic i complicacions mecàniques locals: hidrocele inguinoscrotal (pacient 1) i compressió de la bufeta (pacient 2).

La limfangiectàsia renal és una patologia extremadament rara. Només s'han reportat 50 casos, gairebé exclusivament en ronyons natius.7 La seva fisiopatologia encara no està clara. S'ha hipotetitzat una connexió defectuosa entre els vasos limfàtics renals i els grans limfàtics retroperitoneals. Això conduiria a l'acumulació de líquid limfàtic i induiria hiperpressió i èctàsia dels vasos limfàtics, contribuint a la formació de col·leccions intra i perinefriques. Anatòmicament, els vasos limfàtics són especialment abundants a l'escorça, a diferència de la medul·la.8,9 El desenvolupament dels vasos limfàtics està controlat per factors pro-limfangiogènics (factors de creixement endotelial vascular [VEGF] C i D) que s'uneixen als receptors de VEGF3. Segons el que sabem, només un informe anterior ha descrit limfangiectàsia en un empelt de ronyó.7 La hipòtesi mecànica no pot explicar completament la fisiopatologia de la malaltia perquè mai es realitza l'anastomosi dels vasos limfàtics durant el trasplantament de ronyó. Tanmateix, sempre s'ha d'excloure una altra causa d'obstrucció limfàtica mecànica: en el cas del pacient2, per exemple, també es va realitzar una angiografia per resonància magnètica donada la hipòtesi inicial de torsió venosa. S'ha suggerit una predisposició genètica, però en els dos casos es desconeix el resultat dels ronyons aparellats. No obstant això, la morfologia d'aquests trasplantaments renals era normal en el moment de la contractació. Finalment, la hipòtesi de la sobreproducció limfàtica i l'augment de la limfangiogènesi a causa d'esdeveniments proinflamatoris, com el rebuig agut o la lesió renal aguda, sembla ser la més atractiva, aquestes situacions afavoreixen precisament la secreció de VEGFC/VEGFD per les cèl·lules epitelials tubulars corticals i medul·lars.1,8,9A causa del constant progrés en la gestió del rebuig de l'empelt renal en els darrers anys, això també pot explicar que aquesta entitat patològica només s'hagi descrit per primera vegada recentment en receptors de trasplantament de ronyó.

Tenint en compte l'ascite atípica i la nefromegàlia, ens preocupava principalment el diagnòstic del trastorn limfoproliferatiu posttrasplantament. Els nostres dos pacients havien estat trasplantats durant gairebé 10 anys i els dos empelts van ser proporcionats per donants joves (23 i 28 anys, respectivament). Curiosament, en els dos casos descrits anteriorment per Dawidek et al.7els donants eren pediàtrics. Una altra característica comuna entre els nostres casos i els descrits anteriorment és la història passada de rebuig agut. Pacient hospitalitzat2, les lesions actives associades al rebuig humoral crònic encara estaven presents en el moment del diagnòstic. Així, com s'ha esmentat anteriorment, un estat d'inflamació crònica podria haver promogut la limforrea. En contrast amb la limfangiectàsia renal en els ronyons natius, que sovint s'associa amb una disfunció renal, la funció de l'empelt es va conservar bé en aquests pacients amb trasplantament malgrat els seus episodis de rebuig anteriors.7Es pot plantejar la hipòtesi que un VEGFC alt podria tenir un paper protector contra la fibrosi renal.8
Aquests dos casos mostren diferents patrons de presentació anatòmica, des d'afectacions corticals fins a perihilars, i destaquen com l'enfocament diagnòstic pot ser especialment difícil.3,5,6 Exàmens d'imatge anteriors van revelar un augment progressiu de l'empelt renal en ambdós pacients i una ecografia d'empelt renal ja s'havia produït. van suggerir el diagnòstic de limfangiectàsia 3 anys abans en el pacient 1. En ambdós pacients, abans de l'aparició de símptomes clínics, els radiòlegs ja van descriure la presència d'una fina capa hipoecoica perirrenal o quists perifèrics, suggerint limfangiectàsia intra o perirrenal. La limfangiectàsia renal és, doncs, un diagnòstic d'exclusió que es basa en les troballes combinades d'exploracions d'imatge seqüencials (ecografia, tomografia computada, ressonància magnètica)6. L'ascite sembla ser un criteri diagnòstic important compartit per tots els casos descrits fins ara. També és possible que, en absència d'ascites, el diagnòstic no es faci mai donat el difícil enfocament diagnòstic i les anomalies d'imatge que no es noten fàcilment en la fase inicial de la malaltia.
Com que la fisiopatologia encara és poc entesa, actualment no hi ha un tractament efectiu i s'han aplicat estratègies utilitzades per al maneig dels limfoceles.1,7En la sèrie de casos de Dawidek et al.,7 malgrat diversos procediments invasius (drenatge percutani, marsupialització, esclerosació de la càpsula renal i segellat), el resultat finalment va donar lloc a una ascites refractària que va conduir a una ectomia de trasplantament per als dos pacients. S'ha esmentat l'ús de la limfangiografia i l'embolització, però aquest procediment hauria estat especialment arriscat i no contributiu donada la dificultat pràctica de cateteritzar els vasos limfàtics de l'empelt, que no estan anastomosats al sistema de drenatge del receptor. La qüestió de la nefrostomia i la marsupialització també es va plantejar, però no es va mantenir a causa del seu baix rendiment esperat: de fet, a diferència del gran limfocele clàssic, la limfangiectàsia renal està formada per una xarxa complexa de múltiples col·leccions quístiques petites desenvolupades al voltant o fins i tot dins del parènquima renal. A causa de l'experiència infructuosa reportada per Dawidek et al.7 amb aquestes opcions de tractament, i el risc substancial de pèrdua de l'empelt mentre la funció renal encara es conservava en els nostres receptors, no vam optar per cap tractament invasiu després d'una discussió col·legial. Com que els mTOR s'utilitzen àmpliament en el trasplantament de ronyó i podrien inhibir la limfangiogènesi, cosa que pot explicar la seva associació significativa amb un augment del risc de limfocele,1,9 vam proposar la conversió de micofenolat de mofetil a everolimus. En ambdós pacients, vam observar un millor control de l'ascite però sense impacte en l'ampliació de l'empelt, la qual cosa suggereix un efecte limitant sobre la limfangiogènesi i/o el drenatge limfàtic sense afectar la sobreproducció limfàtica. Després de la suspensió de mTORi al pacient2, el volum de l'empelt va disminuir però l'ascite va reaparèixer ràpidament. A més, a causa de la funció renal preservada i de l'absència de síndrome edematosa perifèrica en tots dos pacients, no vam prescriure cap tractament diürètic. Per tant, és poc probable que el control de l'ascite estigui relacionat amb qualsevol variació del volum sanguini. Tanmateix, donada la manca d'efecte mTORi sobre el curs de la limfangiectàsia en l'estudi de Dawidek et al.,7 qualsevol conclusió sobre aquesta opció de tractament s'ha de treure amb precaució. Finalment, en absència de teràpia eficaç, es podria discutir l'ectomia de trasplantament segons l'impacte nociu de la limfangiectàsia en la qualitat de vida.

La limfangiectàsia és una causa excepcional de nefromegàlia i ascites atípica en receptors de trasplantament renal.7El seu pronòstic depèn de les complicacions mecàniques locals. Els dos casos presents i els reportats anteriorment, comparteixen diverses característiques comunes: aparició tardana després del trasplantament (entre 5 i 10 anys després del trasplantament), receptors i donants més joves i antecedents de rebuig agut però conservada la funció de l'empelt a llarg termini. La imatge mostra presentacions anatòmiques molt heterogènies. El resultat després de la introducció i la interrupció de mTOR aporta noves idees sobre la fisiopatologia de la limfangiectàsia. Un enfocament diagnòstic multidisciplinari, basat en imatges seqüencials, pot ajudar a evitar el diagnòstic errònia així com nombrosos exàmens invasius i costosos (taula 1).

APORTACIONS DE L'AUTOR
Conceptualització: AH, PP, MM, SB, MH, AL. Adquisició de dades: AH, PP, MM, MH, AL. Redacció del manuscrit: AH, AL, PP, MH. Revisió crítica: AH, PP, MM, SB, MH, AL. Aprovació del manuscrit: tots els autors.
DIVULGACIONS
Els autors declaren que no tenen cap conflicte d'interessos.
CONSENTIMENT DEL PACIENT
Els dos pacients d'aquests informes de casos han donat el seu consentiment per a la publicació.
REFERÈNCIES
1. Ranghino A, Segoloni GP, Lasaponara F, Biancone L. Trastorns limfàtics després del trasplantament renal: nous coneixements per a una complicació antiga. Clin Kidney J. 2015;8:615–622.
2. Minetti EE. Limfocele després d'un trasplantament renal, una complicació mèdica. J Nefrol. 2011;24:707–716.
3. Sarikaya B, Akturk Y, Bekar U, Topaloglu S. Limfangiomatosi renal bilateral que imita la hidronefrosi: troballes urogràfiques de TC multidetector. Imatge de l'abdomen. 2006;31: 732–734.
4. Lucewicz A, Wong G, Lam VWT, et al. Gestió del limfocele simptomàtic primari després del trasplantament de ronyó: una revisió sistemàtica. Trasplantament. 2011;92:663–673.
5. Wani NA, Kosar T, Gojwari T, Qureshi UA. Col·leccions de líquid perinèfric per limfangiectàsia renal. Am J Kidney Dis. 2011;57:347–351.
6. Elbanna KY, Almutairi BM, Zidan AT. Limfangiectàsia renal bilateral: troballes radiològiques mitjançant ecografia, tomografia computada i ressonància magnètica. J Clin Imaging Sci. 2015;5:6.
7. Dawidek MT, Aquil S, Alogaili R, et al. Limfangiectàsia renal al ronyó trasplantat: sèries de casos i revisió de la literatura. Trasplantament. 2020;104:172–175.
8. Tanabe K, Wada J, Sato Y. Orientació a l'angiogènesi i la limfangiogènesi en la malaltia renal. Nat Rev Nephrol. 2020;16: 289–303.
9. Russell PS, Hong J, Windsor JA, Itkin M, Phillips ARJ. Limfàtics renals: anatomia, fisiologia i implicacions clíniques. Physiol frontal. 2019;10:251.
